Τμήμα του στομάχου, αντί να βρίσκεται στην κοιλιακή κοιλότητα, περνάει μέσα στο θώρακα. Η πάθηση αυτή ονομάζεται διαφραγματοκήλη #hiatalhernia.
του Κωνσταντίνου Λούβρου, M.D., medlabnews.gr iatrikanea
O θώρακας και η κοιλιά χωρίζονται από το διάφραγμα. Πρόκειται για ένα λεπτό θόλο από μυϊκό ιστό που φέρει ένα στόμιο μέσα από το οποίο περνάει το τελευταίο κομμάτι του οισοφάγου για να ενωθεί με το στομάχι.
Όταν οι ιστοί γύρω από αυτήν την οπή χαλαρώσουν λόγω αυξημένης πίεσης στην κοιλιά(π.χ. λόγω παχυσαρκίας ), τότε τμήμα του στομάχου, αντί να βρίσκεται στην κοιλιακή κοιλότητα, περνάει μέσα στο θώρακα. Η πάθηση αυτή ονομάζεται διαφραγματοκήλη.
Στο διάφραγμα υπάρχουν φυσιολογικά ανοίγματα για την διέλευση ορισμένων οργάνων από την μια κοιλότητα στην άλλη όπως η αορτή, ο οισοφάγος, η κάτω κοίλη φλέβα και άλλα όργανα.

Το διάφραγμα επιτελεί τρεις λειτουργίες:
α) Αναπνευστική λειτουργία.
β) Ανατομικός διαχωρισμός της θωρακικής από την περιτοναϊκή κοιλότητα
γ) Φλεβική επαναφορά.
Οι περισσότεροι ασθενείς με Γαστροοισοφαγική Παλινδρόμηση (ΓΟΠ) έχουν και διαφραγματοκήλη. Πρόκειται για είσοδο τμήματος του στομάχου, που φυσιολογικά είναι εντός της κοιλιάς, στον θώρακα. Έχοντας κάποιος όμως διαφραγματοκήλη δεν σημαίνει και ότι έχει ΓΟΠ. Οι περισσότεροι ασθενείς με διαφραγματοκήλη δεν έχουν ΓΟΠ. Σε αντίθεση με τις βουβωνοκήλες οι διαφραγματοκήλες σύχνα δεν χρειάζονται αποκατάσταση.

Διακρίνουμε πέντε τύπους διαφραματοκήλης
1)Κήλες οισοφαγικού τρήματος (η πιο συχνή).
2)Παραστερνική κήλη (Morgagni).
3)Διαφραγματοκήλη δια του τενόντιου κέντρου.
4)Δια της οσφυοπλευρικής σχισμής (Bochdalek).
5)Τραυματική διαφραγματοκήλη (ρήξη διαφράγματος).
Επειδή στο 98% των περιπτώσεων, πρόκειται για οισοφαγοκήλη, χρησιμοποιώντας στην καθ’ ημέρα πράξη τον όρο «διαφραγματοκήλη» εννοούμε την οισοφαγοκήλη.
Το χαρακτηριστικό τους είναι η πρόπτωση ενδοκοιλιακού οργάνου από την υψηλής πιέσεως περιτοναϊκή στην χαμηλής πιέσεως θωρακική κοιλότητα, και όπως και όλες οι άλλες κήλες έτσι και αυτές μπορεί να υποπέσουν σε κίνδυνο συστροφής, αποφράξεως, περισφίξεως του περιεχομένου οργάνου (στομάχου, εντέρου, σπλήνα κλπ).
Ο κίνδυνος και οι επιπλοκές σε ολισθαίνουσα διαφραγματοκήλη οφείλονται σε γαστροοισοφαγική παλινδρόμηση ενώ σε κήλη Bochdalek η ζωή απειλείται από αναπνευστικές επιπλοκές.

Συμπτώματα
Πρόκειται για μια συχνή κατάσταση, η οποία εμφανίζεται σε μεγάλο ποσοστό ατόμων ηλικίας άνω των 50 ετών. Τα συμπτώματα εκδηλώνονται με διαφορετική ένταση και με διαφορετικό τρόπο σε κάθε ασθενή. Περιλαμβάνουν
• καύσος,
• οπισθοστερνικό πόνο,
• αναγωγές γαστρικού περιεχομένου,
• όξινες ερυγές και
• δυσκολία στην κατάποση.
• Ο πόνος μπορεί να μιμείται στηθάγχη.
• Αναγωγές πικρού ή όξινου περιεχομένου.
• Δυσφαγία που υποδηλώνει χρονιότητα και επιδείνωση.
• Αναιμία λόγω μικροαιμορραγιών σε χρονιότητα.
• Έλκη οισοφάγου.
• Κακοήθης εξαλλαγή.
• Πνευμονία από εισρόφηση.
• Συστροφή (volvulus).
Οι ασθενείς με διαφραγματοκήλη παρουσιάζουν ένα κοινό χαρακτηριστικό. Τα συμπτώματα τους επιδεινώνονται κατά την κατάκλιση, ειδικά αν πριν από μικρό χρονικό διάστημα έχει προηγηθεί η λήψη τροφής.
Κάποιοι ασθενείς μπορεί να μην έχουν συμπτώματα οπότε και παραμένουν αδιάγνωστοι. Οι ασθενείς με μεγάλες διαφραγματοκήλες μπορεί να έχουν χρόνια αιμορραγία και να εμφανίσουν αναιμία. Ένας σπάνιος αλλά υπαρκτός κίνδυνος είναι η περίσφιξη της κήλης δηλαδή ο στραγγαλισμός εκείνου του κομματιού του στομάχου που βρίσκεται στο θώρακα, με αποτέλεσμα την ισχαιμία και τη νέκρωσή του. Πρόκειται για μια επικίνδυνη κατάσταση που απαιτεί άμεση ιατρική παρέμβαση.
ΠΡΟΣΟΧΗ: Η διαφραγματοκήλη μπορεί να επιπλακεί, όπως και κάθε άλλη κήλη και να προκαλέσει περίσφιγξη ή/και νέκρωση, του όποιου κοιλιακού σπλάγχνου αποτελεί το περιεχόμενό της. Εάν ένας ασθενής με γνωστή διαφραγματοκήλη παρουσιάσει πολύ έντονο πόνο στην κοιλιά ή στο θώρακα που συνοδεύεται από πυρετό, τάση για εμετό ή εμετό, θα πρέπει να αναζητήσει άμεσα χειρουργική συμβουλή, προκειμένου να αποκλεισθεί η όποια τέτοια επιπλοκή, η οποία μπορεί να καταστεί απειλητική ακόμα και για τη ζωή του.
Οι ασθενείς με τεκμηριωμένη ΓΟΠ και διαφραγματοκήλη αντιμετωπίζονται συνηθέστερα χειρουργικά, σε σχέση με αυτούς που πάσχουν απλά από ΓΟΠ.

Διάγνωση
Τα συμπτώματα του ασθενούς θα θέσουν την υπόνοια για την ύπαρξη της διαφραγματοκήλης. Περαιτέρω εξετάσεις απαιτούνται ωστόσο για να επιβεβαιωθεί η παρουσία της.
Σε αυτές περιλαμβάνεται η γαστροσκόπηση, δηλαδή η εισαγωγή ενός εύκαμπτου οπτικού εργαλείου από το στόμα στον οισοφάγο και το στομάχι. Με αυτό το εργαλείο, ο γιατρός μπορεί να δει το εσωτερικό του πεπτικού σωλήνα. Η εξέταση πραγματοποιείται με τοπική αναισθησία και πιθανόν με πρόσθετη καταστολή του ασθενούς με κάποιο ηρεμιστικό φάρμακο. Με τη μέθοδο αυτή μπορούν να αναδειχθούν ακόμη και μικρού μεγέθους διαφραγματοκήλες.
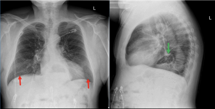
Μία άλλη μέθοδος με την οποία μπορεί να αναδειχθεί η παρουσίαδιαφραγματοκήλης είναι η ακτινολογική απεικόνιση. Η απλή ακτινογραφία θώρακα σε σπάνιες περιπτώσεις μπορεί να είναι χρήσιμη, καθώς απεικονίζεται η γαστρική φυσαλίδα δηλαδή ο αέρας του εσωτερικού του στομάχου μέσα στο θώρακα. Η μέθοδος που χρησιμοποιείται συνήθως είναι η ακτινολογική απεικόνιση μετά την κατάποση βαρίου, ενός σκιαγραφικού υλικού. Με αυτόν τον τρόπο απεικονίζεται ακτινολογικά ο πεπτικός σωλήνας και αποκαλύπτεται ηδιαφραγματοκήλη. Σε κάθε ακτινολογικό έλεγχο με βαριούχο γεύμα ο ασθενής τοποθετείται σε θέση TRENDELEBURG 20 μοιρών (κεφάλι κάτω) έτσι ώστε να αναδειχτεί η γαστροοισοφαγική παλινδρόμηση.
Κατά τον ενδοσκοπικό έλεγχο (γαστροσκόπηση) συμπτωματικών ασθενών διαπιστώνεται η βαρύτητα της φλεγμονής ή άλλες συνοδές καταστάσεις όπως έλκος, ρίκνωση, κακοήθεια. (βιοψία).
Μανομετρία ,τονομετρία του κατώτερου οισοφαγικού σφιγκτήρα όπου έχουμε πίεση 15mmHg σε σχέση με το φυσιολογικό 30 mmHg.
PHμετρία 24ώρου στην περιοχή του κατωτέρου οισοφάγου, όπου σε γαστροοισοφαγική παλινδρόμηση έχουμε αύξηση του PH την διάρκεια της νύχτας , αυτή είναι μια πολύ ευαίσθητη διαγνωστική μέθοδος .
Η δοκιμασία Bernstein είναι μια αξιόπιστη μέθοδος η οποία προκαλεί τα συμπτώματα της Γ.Ο.Π. με χορήγηση από ρινογαστρικό καθετήρα διαλύματος NaCl ή HCl .

Θεραπεία
H θεραπεία μπορεί να είναι συντηρητική ή χειρουργική ανάλογα με τη βαρύτητα της κατάστασης.
Η συντηρητική θεραπεία της διαφραγματοκήλης (οισοφαγοκήλης) αποσκοπεί στην ανακούφιση των συμπτωμάτων και περιλαμβάνει:
• Απώλεια βάρους
• Κατάκλιση με το κεφάλι σε ψηλότερη θέση.
• Λήψη έξι μικρών γευμάτων αντί για τρία την ημέρα, με τροφή εύπεπτη και καλά μασημένη.
• Δίαιτα πλούσια σε πρωτεΐνες και φτωχή σε λιπαρά.
• Το γεύμα να γίνεται 3 έως 4 ώρες πριν την κατάκλιση.
• Αντιόξινα φάρμακα και Η2 υποδοχείς για ανακούφιση των συμπτωμάτων.
Παράλληλα μπορούν να χορηγηθούν φάρμακα που μειώνουν τη γαστρική οξύτητα και προστατεύουν το εσωτερικό του στομάχου.
Η χειρουργική αντιμετώπιση προσφέρει μια οριστική αντιμετώπιση του προβλήματος της διαφραγματοκήλης με ποσοστά επιτυχίας γύρω στο 70%
Ενδείξεις χειρουργικής επέμβασης
• Ασθενείς που δεν μπορούν να συνεργαστούν ώστε να ακολουθήσουν τον καινούργιο τρόπο ζωής (γεύματα, ειδική τροφή, κλπ)
• Αδυναμία λήψης αναστολέων Η2 υποδοχέων
• Οισοφάγος Barrett
• Οισοφαγίτιδα 3ου -4ου βαθμού
• Έλκος οισοφάγου
• Ευμεγέθης διαφραγματοκήλη
• Επεισόδια εισρόφησεις και πνευμονίας
• Νέοι ηλικιακά ασθενείς
Ρομποτική Χειρουργική
Μια από της κυριότερες ενδείξεις εφαρμογής του ρομποτικού συστήματος στα πλαίσια της γενικής χειρουργικής είναι η αποκατάσταση της διαφραγματοκήλης κατά Nissen, με πλεονεκτήματα όπως:
• Ελάχιστα επεμβατική
• Ελάχιστα τραυματική
• Ελάχιστη απώλεια αίματος
• Μεγάλη ακρίβεια στης χειρουργικές κινήσεις
• Τρισδιάστατη (3D) εικόνα του χειρουργικού πεδίου
• Οι βραχίονες και τα ρομποτικά εργαλεία πραγματοποιούν όλες της κινήσεις του ανθρώπινου χεριού (7 βαθμοί ελευθερίας στην κίνηση)
• Ταχύτερη ανάρρωση και έξοδο από το νοσοκομείο

Διατροφή-Συμβουλές
Ο ασθενής ενθαρρύνεται να τροποποιήσει μερικές διαιτητικές συνήθειες, έξεις και τρόπους ζωής, όπως να αδυνατίσει, να αποφεύγει τα σφιχτά ρούχα-ζώνες, να μην ξαπλώνει/κοιμάται αμέσως μετά το φαγητό αλλά τουλάχιστον 2-3 ώρες μετά και με ανασηκωμένο το θώρακα (ή καλύτερα όλο το κρεβάτι σε κλίση). Η αποφυγή σωματικής άσκησης μετά το φαγητό, η λήψη μικρών και συχνών ελαφρών γευμάτων, η αλλαγή μερικών φαρμάκων που χαλαρώνουν τον καρδιοοισοφαγικό σφιγκτήρα, η αντιμετώπιση των ρευματικών νοσημάτων και των υπερεκκριτικών καταστάσεων που αναφέρθηκαν πιο πάνω και βέβαια η απώλεια σωματικού βάρους στις περιπτώσεις παχυσαρκίας.
Περιορίστε
• Τα λιπαρά
• Τα τηγανητά
• Τη σοκολάτα, τον καφέ, το τσάι, τη μέντα
• Τα μπαχαρικά
• Τα αεριούχα ποτά, το αλκοόλ και ιδιαίτερα τα ηδύποτα
• Tους ξινούς χυμούς φρούτων
• Τα γλυκά με σιρόπι
• Τις πίτες με φύλλο
• Τις σούπες το βράδυ
Και ακόμη
• Να τρώτε και να πίνετε με μέτρο
• Να τρώτε αργά και να πίνετε ήρεμα
• Να μην πίνετε αεριούχα ποτά
• Μη φοράτε στενά ρούχα
• Μη σηκώνετε βάρος
• Περιορίστε την κατανάλωση ερεθιστικών ουσιών όπως περιγράφονται παραπάνω
Πηγή: medlabnews.gr iatrikanea https://medlabgr.blogspot.com/2015/11/hiatal-hernia.html#ixzz8NejvDhuv


