Κηλίδες στα δόντια (Υπενασβεστίωση –Υποπλασία της αδαμαντίνης)


Συντάκτης Γιώργος Κουτσικάκης Χειρουργός Οδοντίατρος Μ.Sc., medlabnews.gr
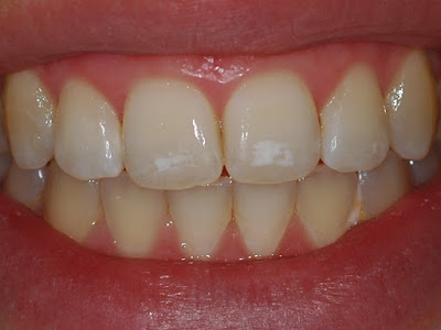
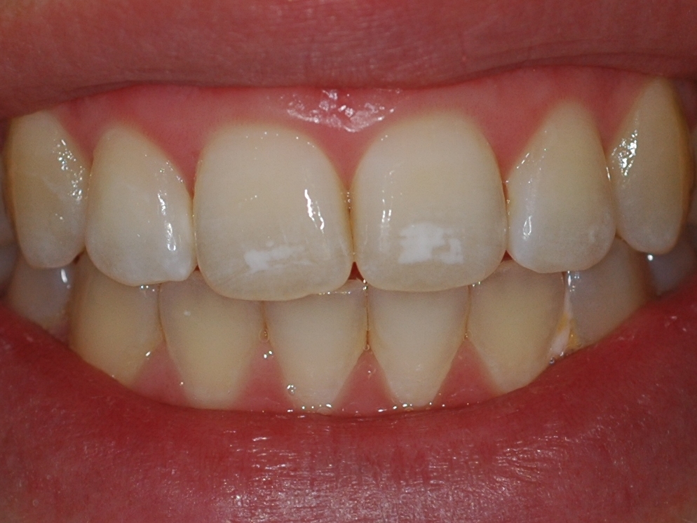
Μερικές φορές εμφανίζονται στα πρόσθια κυρίως δόντια, από την παιδική ηλικία,  λευκές ή μερικές φορές υποκίτρινες ή καφέ κηλίδες. Οφείλονται στην υπενασβεστίωση της αδαμαντίντης (σμάλτου) του δοντιού, μία ποιοτική διαταραχή της διάπλασής της.

Η υπενασβεστίωση δεν πρέπει να εμπνέει ανησυχία. Και αθεράπευτη δεν προκαλεί πρόβλημα. Αντιμετωπίζεται με λευκό σφράγισμα ή όψη σύνθετης ρητίνης ή πορσελάνης για αισθητικούς κυρίως λόγους.

Κηλίδες υπενασβεστίωσης εμφανίζονται και στα πίσω δόντια.

Σοβαρότερο πρόβλημα αποτελεί η υποπλασία της αδαμαντίνης που συνιστά ποσοτική διαταραχή της αδαμαντίνης. Το δόντι είναι δυσχρωμικό και εύθρυπτο.  Εμφανίζει μικροκοιλότητες και αύλακες. Είναι πολύ εύκολο να τερηδονιστεί.



Η υποπλασία μπορεί να εμφανίζεται σε αλλεπάλληλα στρώματα του ίδιου δοντιού μεταξύ των οποίων υπάρχει υγιής αδαμαντίνη. Τότε μιλάμε για τη διαλείπουσα υποπλασία.

Η υποπλασία μπορεί να συνυπάρχει και με υπενασβεστίωση.


Η υποπλασία αντιμετωπίζεται συνήθως με σφραγίσματα. Σε εκτεταμένες βλάβες μπορούμε να τοποθετήσουμε στεφάνες.
Σε μικρές βλάβες τακτικά επαναλαμβανόμενες φθοριώσεις και χρήση φθοριούχας οδοντόκρεμας επαρκεί.

Λευκές ή σκουρόχρωμες κηλίδες στα δόντια εμφανίζονται  και στη φθορίαση. Είναι μία διαταραχή που εμφανίζεται σε άτομα που υδρεύονταν με νερό πλούσιο σε ιόντα φθορίου κατά τη διάρκεια της διάπλασης των δοντιών. Στην περιοχή του Λαυρίου πριν από δεκαετίες είχαμε τέτοιο πρόβλημα όταν ο πληθυσμός χρησιμοποιούσε νερό πηγαδιών. Τα δόντια αυτά είναι γερά σαν μπετόν και πολύ δύσκολα τερηδονίζονται. Πάντως στις μέρες μας σπάνια συναντάμε φθορίαση. 
Με την ευκαιρία αυτή να επισημάνουμε ότι η φθοριούχος οδοντόκρεμα των νηπίων 1,5- 2 χρόνων πρέπει να έχει περιεκτικότητα 500ppm,  να χρησιμοποιείται σε μέγεθος μπιζελιού δύο τουλάχιστον φορές την ημέρα, μετά τα γεύματα, υπό την επίβλεψη των γονέων. (Πρωτόκολλο χρήσης φθορίου  που έχει εκδώσει η Ευρωπαϊκή Ακαδημία Παιδοδοντιατρικής και ακολουθεί και η Ελληνική Παιδοδοντική Εταιρία)
Γιώργος Κουτσικάκης, Χειρουργός Οδοντίατρος Μ.Sc.
τηλ 210-8056112
Διεύθυνση Οδοντιατρείου :  Υψηλάντου 11, Πεύκη

Διαβάστε επίσης

Posted by: Alex-Yiatzides

medlabnews.gr Updated at: Παρασκευή, Σεπτεμβρίου 25, 2015

Πηγή

Κοινοποίηση
recurring
Σας αρέσει το OlaDeka?
Κάντε μας like στο Facebook!
Κλείσιμο
Ola Deka Kastoria